Leggi tutto" />

Bari, Istituto Tumori: 63enne torna a respirare con protesi autoespandibile in nitinol

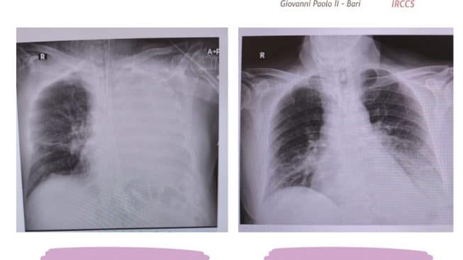
Intervento palliativo salvavita per un paziente di 63 anni affetto da microcitoma polmonare metastatico all’Istituto Tumori Giovanni Paolo II di Bari: il paziente, arrivato da un ospedale tarantino, presentava una occlusione completa neoplastica del bronco principale sinistro. In buona sostanza, il tumore gli comprimeva completamente la trachea, impedendogli di respirare. Così il dottor Gaetano Napoli, direttore dell’unità operativa di Chirurgia Toracica Mininvasiva, gli ha impiantato una protesi autoespandibile in nitinol (una speciale lega di nichel e titanio con una percentuale più o meno uguale dei due elementi) nel bronco principale sinistro (in cui riusciva a passare appena la guida per la procedura di dilatazione), riuscendo così a disostruirlo.
Ora il 63enne è tornato a casa e, con questo intervento salvavita, potrà cominciare il trattamento radio-chemioterapico per la cura del tumore.
La Chirurgia Toracica dell’IRCSS barese rappresenta un polo di eccellenza e un punto di riferimento in tutta Italia per la ricerca e la cura delle patologie oncologiche che colpiscono polmone, pleura e mediastino.
Il dottor Gaetano Napoli, in particolare, è noto per la perizia con cui è solito eseguire interventi particolarmente complessi e all’avanguardia: soltanto un anno fa, con la sua equipe, aveva asportato un sarcoma dello sterno di quasi 4 chili su una paziente di 72 anni, ricostruendo la parete toracica della donna con placche di titanio.
Marina Poci